人类自进化到站立行走以后
我们的腰椎成了支撑躯干的中心
无论是站立或是坐位
腰部承受了60%以上的体重
腰椎老化退变的问题
便很现实地摆在了大家的面前。
今天就和大家聊聊腰痛的罪魁祸首——
“腰椎间盘突出”
1、什么是腰椎间盘?


说通俗一点,腰椎间盘就是腰椎上下两个椎体之间的弹性“缓冲垫”,它由“髓核”、“纤维环”和“软骨板”三部分构成。

如果觉得难理解,咱们可以把它想象成平时吃的包子,把“包子馅”理解为髓核部分,把“包子皮”理解为纤维环部分,这样是不是就更好理解了。
2、腰椎间盘突出是怎么发生的?


健康的纤维环和髓核含有丰富的水分,但随着年龄的增长或其他刺激,含水量逐渐减少,弹性也逐渐变差。当包子皮(纤维环)破裂后,里面的馅儿(髓核)便会跑出来,进入椎管,刺激到神经根或者脊髓,引起一系列症状。
3、腰椎间盘突出的典型症状有哪些?

一般来说,下腰痛是腰椎间盘突出最先出现的症状。除此之外,下肢放射痛,下肢麻木、无力,大小便障碍也是腰椎间盘突出的典型症状。

如果出现上述症状,教大家一个自查的方法,叫做直腿抬高实验,如果出现臀部疼痛加重,那就得去医院做一做全面的检查了。
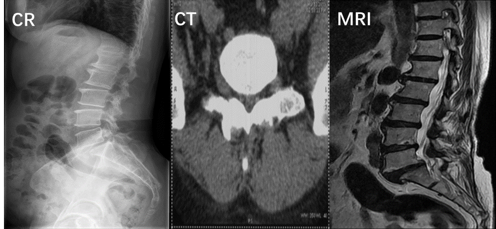
4、腰椎的影像学检查有哪些内容?
去了医院之后,医生往往建议大家先拍片子,一些朋友非常排斥拍片子,指责医生不拍片子就不会看病了,拒绝拍片。但腰椎的影像学检查是非常有必要的,是医生判断病情的依据。一般包括三个内容:X线、CT和MRI。

X线可以提示腰椎的生理曲度、椎间隙宽度以及椎体间的稳定度。
CT图像可较清楚地显示椎板及黄韧带肥厚钙化、小关节增生肥大、椎管及侧隐窝狭窄等情况。
MRI则可直观地显示椎间盘突出的形态及其与硬膜囊、神经根等周围组织的关系。
对于腰椎间盘突出症的诊断
典型症状、阳性体征、影像学检查缺一不可
“症状”+“体征”+“影像”=确诊
5、腰椎间盘突出症该如何治疗?
90%的患者可以通过保守治疗缓解,这里给大家一些保守治疗的建议。
建议一:卧床休息

不同姿势下,脊柱的受重比值不同,发现腰突后,建议卧床3周,老老实实躺着,减轻脊柱负荷,3个月内,不要弯腰拿东西,禁搬重物,避免久坐和 “葛优躺”。
建议二:佩戴腰围
腰围可以增加脊柱的内在稳定性,减轻脊柱负重,但需要注意的是,长期佩戴腰围而不锻炼腰背肌,反而会引起肌肉的萎缩,加重病情,每日佩戴腰围的时间不能超过8小时。
建议三:中医理疗
针灸、艾灸、中频、热疗、磁疗等中医治疗方法对于腰痛、腿麻等症状也有很好的疗效。此类方法能够抑制炎性因子的分泌,减缓病程进展。但推拿牵引一定要慎重,要在专业的脊柱外科医生指导下进行!
建议四:药物治疗
如果症状影响到平时工作或睡眠,建议口服一些药物,这里给大家推荐两种物美价廉的“神药”,止痛首选西乐保(塞来昔布),营养神经首选弥可保(甲钴胺片)。但要注意塞来昔布对胃肠道有刺激,有胃病史的患者要谨慎使用。

除此之外,腰背肌的锻炼与放松也十分重要,给大家提供几个小TIPS。
TIP1:倒退走

“倒退走”作为正走的反序运动,可通过改变腰部肌肉的收缩方向,减少腰部张力和椎间盘受到的压力。简单安全易行,尤其适用于老年人。
TIP2:小燕飞

“小燕飞”也是临床上最为普遍的腰背肌锻炼方法,通过锻炼可以稳定腰椎、提高腰部肌肉、骨关节的协调性,降低生活或工作中出现腰椎意外受伤的几率。
TIP3:软硬适中的床垫

软硬适中的床垫对于腰突病人十分重要,成人每天的睡眠时间平均超过8小时,想减轻腰痛,就要避免腰椎扭曲。过软或过硬的床垫都会造成腰椎扭曲,此时腰部的筋膜和韧带就会处于相对紧张的状态,不利于缓解症状。
TIP4:吊单杠
吊单杠与腰椎牵引有着相似的原理,是利用身体的重力对身体进行牵引,拉开椎间隙和关节突关节,从而使突出的髓核还纳,减轻对神经根的压迫。但对于椎间盘脱出和腰椎滑脱的患者,吊单杠是禁忌的,而且吊单杠的力量和方向均不可控,安全性较低。
TIP5:游泳
游泳有助于预防腰部疾患,在浮力作用下,人体可以处于“半漂浮”状态,能够减轻腰部负担。建议选择蛙泳,运动量要适中,让腰背肌和竖脊肌适度紧张。
但是,保守治疗三个月以上仍不见症状缓解,甚至出现间歇性跛行、大小便功能减退,就要考虑手术治疗了。

6、腰椎间盘突出的手术方式
腰椎间盘突出的手术方式多样,医生会综合考虑每一名患者的具体病情和需求,选择最合适的方式,这便是所谓的个体化治疗原则。
临床最常见的是腰椎后路减压植骨融合内固定术,这类手术优点有神经减压充分、疗效可靠、不复发,但手术为开放手术,需要植入螺钉,牺牲了腰椎部分节段的活动度,可能会对飞行人员的职业生涯造成影响。

椎间盘髓核摘除术是腰椎间盘突出症最经典的手术,此类手术又称“小开窗治疗”,就是在病变椎间盘对应的椎板开个“小窗户”,将里面的髓核取出来。这种手术创伤小,对人体影响小,只要严格掌握手术适应症,复发率非常低。
近年来,椎间孔镜技术也临床中被大量应用。例如显微内窥镜下椎间盘手术(MED)、经皮内镜下椎间盘切除术(PELD)、微创内镜下经椎间孔椎体间融合术(Endo-TLIF)等等。
医生只需在皮肤上做一个2厘米的小切口,然后置入内窥镜,这个镜子配有灯光和微型摄像头,能将术中视野放大并清晰的投射在电视频幕上。医生通过特定的器械,在管道内进行操作。

椎间孔镜技术创伤小,术后恢复快。但椎间孔镜手术也有其局限性,一是存在复发风险,二是对于有腰椎不稳、椎管狭窄或黄韧带肥厚钙化的病人,不适合采用该技术。
今天就分享这么多腰椎间盘突出的小知识,
希望对大家有所帮助,
身体的健康是根本,
请大家从小事做起,保护好自己的腰椎,
腰好,一切都好~~
科室介绍

海军特色医学中心空勤科现有医护20人,其中高职6人,展开床位38张,获批海军特色医学中心首批特色培育科室。
作为海军飞行人员医学保障的最高医疗专业机构,科室以提升海军航空兵战斗力为主责主业,始终站在服务海军飞行人员的第一线,开展空勤人员医学治疗与鉴定工作,主持海军航卫保障医务人员的培训工作。
近年来先后荣获集体三等功和四铁先进集体,获得包括国家、军队、上海市等各项科研基金20余项,发表科研论文50余篇,获国家专利5项。
作者简介

马 骏
空勤科主治医师
上海市卫生健康青年人才,主持国家自然科学基金、中国博士后科学基金等数项课题,发表科研论文20余篇。
![]()  | 
                            26.png ( 285.40k ) | 
|---|


